
All products are certified by dental expert Dr. Greg Grillo
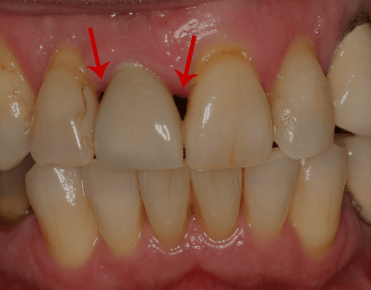
Have you noticed black triangles between your teeth? If so, you’re not alone.
Black triangles between teeth are a very common dental problem that occurs when the adjacent teeth do not fit together properly. While black triangles may appear to be unsightly and embarrassing to some people, they can be easily treated with various remedies.
What Are Open Gingival Embrasures Or Black Triangles?
Open gingival embrasures, or black triangles, are a common dental problem. They occur when there is an inadequate amount of gum tissue between two teeth, creating a space or triangle-shaped void.
This condition can be caused by several factors, such as periodontal disease, poor oral hygiene, misaligned teeth, or hereditary traits. While black triangles can have a significant effect on a person’s confidence and self-esteem, they can also affect your overall oral health. Fortunately, there are several treatments available to reduce their appearance and improve the aesthetic of your smile.
Causes Of Black Triangles On Teeth
Just like other dental health issues, a dental black triangle on teeth can be caused by a number of factors. Some of the common causes are:
Gum Recession
Having healthy, pink, plump gums is essential to protecting your teeth and creating an attractive smile. Gum recession can occur as a result of oral trauma or due to periodontal disease. When the gums start to recede and pull away from your teeth, it exposes the roots and leaves them more susceptible to plaque and bacteria. If plaque builds up and turns into tartar, there’s a chance you’ll see black tartar on teeth and black gums.
Poor Brushing Techniques
If you brush your teeth too hard or use a toothbrush with stiff bristles, it can cause the gums to recede, leading to open gingival embrasures. It’s important to be gentle when brushing your teeth and select an appropriate soft-bristled toothbrush in order to prevent gum recession and black triangles.
The right way to brush your teeth is by brushing at a 45-degree angle; using a gentle, circular motion; and directing the bristles to where your teeth and gums meet.
Shape Of The Tooth
In some cases, the shape of a tooth can cause a triangle gap between the front teeth or other teeth. If a tooth has an irregular shape or is too wide in comparison to its neighboring teeth, it can leave a gap and create the appearance of black triangles.
Bone Loss
Bone loss around the teeth can lead to black triangles due to the recession of your gums. When bone is lost, it causes shrinkage in your gum tissue and exposes more of the tooth roots. If you have gum disease or osteoporosis, you may be more susceptible to bone loss.
Orthodontic Treatments Gone Wrong
Orthodontic treatments such as braces or retainers can also cause open gingival embrasures if they are not used properly. When the teeth are moved too far apart, they can leave a gap that creates black triangles.
Dental Hygiene Habits
Having poor dental hygiene habits can result in black triangles. Not flossing regularly or not brushing your teeth twice a day can lead to an accumulation of plaque and bacteria, which can cause gum recession. Not protecting your enamel from erosion can also cause your gums to recede and create the appearance of black triangles.
Ways To Fix Black Triangles Between Your Teeth
Luckily, there are treatments available to reduce the appearance of black triangles and restore your smile.
Proper Dental Hygiene
One of the most important steps in treating black triangles is to practice proper dental hygiene. Make sure you brush your teeth twice a day for at least two minutes each time and floss daily. This will help keep plaque build-up to a minimum and prevent gum recession. If you previously had poor oral health practices, changing your habits can help reverse the effects of gingivitis and prevent it from turning into periodontitis.
Veneers
Veneers are a type of dental restoration used to correct the appearance of your teeth and improve their aesthetic. They can be used to fix black triangles by covering the gap between two teeth and creating an even line. These “shells” are usually made from porcelain or composite resin, so they look natural and resemble real teeth. Veneer cost depends on how many teeth you’re looking to tackle, as well as the material you choose.
Orthodontics
Orthodontic treatments such as braces or clear aligners can be used to fix black triangles by realigning the teeth and closing the gap between them. This will improve your smile’s overall appearance and make you feel more confident about how it looks. However, this method may not work for everyone, so you should consult with your dentist to see if it’s the right choice for you.
Dental Bonding
Dental bonding is a cosmetic procedure that can be used to fix open gingival embrasures. In this method, your dentist will use composite resin to fill in the gap between two teeth and create a more even smile line. Bonding is one of the most affordable treatments for black triangles, but it doesn’t last as long as other methods, at 3 to 10 years.
Dental Crowns
For more severe cases of open gingival embrasures, your dentist may recommend getting dental crowns. Crowns are caps that are placed over teeth to restore their shape and size. In this case, they can be used to reduce the size of the gap between two teeth and fill in black triangles.
Tissue Grafting
As the main culprit of black triangles is gum recession, tissue grafting may be used to correct the problem. Your dentist will surgically remove a piece of skin or bone from another part of your body and then attach it to the affected area. This can help restore the gums and hide open gingival embrasures.
Hyaluronic Acid Treatment
Hyaluronic acid is a substance that’s naturally found in the body. It can be injected into the gums to help restore their plumpness and reduce the appearance of black triangles. This method is non-invasive and doesn’t require surgery, making it an attractive option for many patients. Research has shown that hyaluronic acid has anti-inflammatory and anti-bacterial effects that can treat periodontal disease.
Braces
In some cases, braces can be used to correct open gingival embrasures. By adjusting the position of your teeth, braces can help reduce the size of black triangles and create a more even smile line. This is most suitable for cases where the black triangles are caused by misaligned teeth.
Surgical Remedies
In severe cases, your dentist may recommend a surgical remedy. This could include gum contouring or flap surgery to reduce the size of black triangles and improve the overall appearance of your smile.
While we’ve discussed the causes and remedies for black triangles between teeth, you might still have some unanswered questions. We’ve compiled some of the most common queries below:
Are Black Triangles Normal?
They can be normal depending on the size of your teeth and the distance between them. People can sometimes have larger interdental spaces than usual, and this can lead to the formation of black triangles. On the other hand, if the gap between teeth is caused by gum disease or receding gums, then it is a cause for concern.
How Do Dentists Get Rid Of Black Triangles?
There are a variety of treatments available to reduce the appearance of black triangles, including dental bonding, crowns, tissue grafting, and hyaluronic acid treatment. Your dentist will be able to recommend the best option for you, depending on your individual circumstances. While some people may need a simple cosmetic fix, others may need more invasive treatments to address the underlying cause.
How Do You Fix Black Triangles Naturally?
Unfortunately, there is no natural way to get rid of black triangles. Although some people may find that using a toothbrush with softer bristles can help reduce the appearance of these gaps, this will not address any underlying issues such as gum disease or receding gums. The best way to fix black triangles is by visiting your dentist for professional treatment.
Is It Possible To Fix Black Triangles At Home?
No, it is not possible to fix black triangles at home. While there are some over-the-counter products that claim to reduce the appearance of these gaps, they are unlikely to provide any long-term benefits. The only way to truly address the problem is by getting professional treatment.
Can Gums Grow To Fill Black Triangles?
Gum tissue can be transplanted to fill in the gaps between teeth. This process is known as periodontal plastic surgery and can be used to reduce the appearance of black triangles. However, it is important that you visit your dentist for a consultation beforehand, as this treatment may not be suitable for everyone.
If your black triangles are just starting to appear, adopting better oral hygiene habits may help to reduce their size and severity.
Does Flossing Cause Black Triangles?
Flossing does not cause black triangles. It can actually help reduce the risk of gum disease, which may be a contributing factor to the formation of these gaps.
Regular flossing is essential for good oral health, so make sure to floss at least once a day. Some of the benefits include reducing plaque and bacteria, as well as preventing soreness and redness of the gums.
At What Age Do Black Triangles Generally Appear?
Black triangles usually start to appear during the teenage years and can become more pronounced with age. This is because as we get older, our gums recede, and the distance between teeth increases. According to the British Journal of Applied Science and Technology, black triangles can occur in 67% of people over 20 years old.
How Long Does A Black Triangle Last?
The length of time a black triangle will last depends on the underlying cause. If it is caused by gum disease, then it may become worse over time and require more intensive treatment. But if it’s simply an aesthetic issue, then professional treatments such as dental bonding or veneers can help reduce its appearance long-term.
How Do You Fill Gaps Between Teeth And Gums?
If you have gaps between your teeth and gums that are causing black triangles, then the best way to fill them is with a tissue graft. During this procedure, your dentist will take a small piece of tissue from another part of your mouth and use it to replace the missing gum tissue.
Can Pinhole Surgery Fix Black Triangles?
Pinhole surgery is a suitable way to reduce the appearance of black triangles.
This procedure involves making tiny incisions in the gum tissue and then gently stretching it over the teeth. It’s a minimally-invasive treatment that can help close gaps between teeth and improve your smile’s aesthetic.
Can Black Triangles Be Fixed With Braces?
Yes, braces can be used to close black triangles. Braces work by gradually shifting the teeth into their desired positions and closing any gaps between them. Depending on the severity of your case, it could take anywhere from a few months to a year for the braces to achieve their desired effect.
Do Black Triangles Go Away After Invisalign?
Invisalign can help reduce the appearance of black triangles by straightening and aligning your teeth. Over time, this can lead to a more even shape in your smile and reduce the size of any existing gaps. However, it is important to note that Invisalign alone may not be enough to completely get rid of black triangles if they are caused by gum disease or other underlying issues.
Invisalign is also different from regular braces in that it does not use brackets or wires but instead uses a series of clear plastic aligners to gradually shift your teeth into the desired position. So, those who have a more severe case of black triangles may still need to use other treatments alongside Invisalign in order to achieve the desired result.
How Do You Get Rid Of Black Triangles On The Front Teeth?
The best way to get rid of a black triangle on the bottom teeth or front teeth is by visiting a dentist for professional treatment. Depending on the severity of your case, treatments such as dental bonding, crowns, or veneers may be recommended in order to reduce their appearance. Your dentist will be able to assess your individual situation and recommend the best course of action for you.